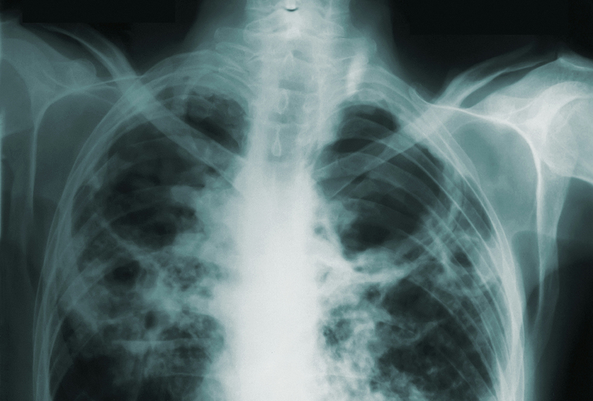
Сегодня во всем мире отмечается День борьбы с туберкулезом, призванный повысить осведомленность общественности о губительных последствиях туберкулеза для здоровья, общества и экономики и активизировать усилия по борьбе с глобальной туберкулезной эпидемией.
24 марта 1882 года д-р Роберт Кох объявил о том, что ему удалось открыть бактерию, вызывающую туберкулез, благодаря чему стала возможна разработка методов диагностики и лечения этого заболевания.
В Таджикистане с 2016 года, в соответствии с поправками в Гражданско-процессуальный кодекс страны, больных с различными формами туберкулеза могут лечить принудительно. Если больной туберкулезом, представляющий опасность для других людей, отказывается от лечения, то через суд его могут направить на принудительную диагностику и госпитализацию.
Как обстоят дела с заболеваемостью туберкулезом в Таджикистане — смотрите в нашей инфографике.
Берегите себя и этой весной читайте нас в Telegram, Facebook, Instagram, Яндекс.Дзен, OK и ВК








